診察時間
午前9:00-12:00
午後15:00-19:00
手術時間12:00-15:00
水曜・土日午後休診
今回は、10〜11歳齢のオスの患者さんの外科症例をご報告します。
「ぐったりしている」「泡を吹く」「歩かない」「トイレに長くいるが尿が出ていない」という極めて切迫した主訴で来院されました。本日は、命に直結する重篤な尿道閉塞と、内科的治療が限界を迎えた際に行う外科的介入について、事実に基づき論理的にお話しします。
初診時(第1病日)の血液検査では、BUN 95.9 mg/dl、クレアチニン 5.62 mg/dlという極めて重篤な急性腎障害(尿毒症)に陥っていました。尿検査ではストルバイト結晶が確認され、顕著なタンパク尿と潜血が認められました。
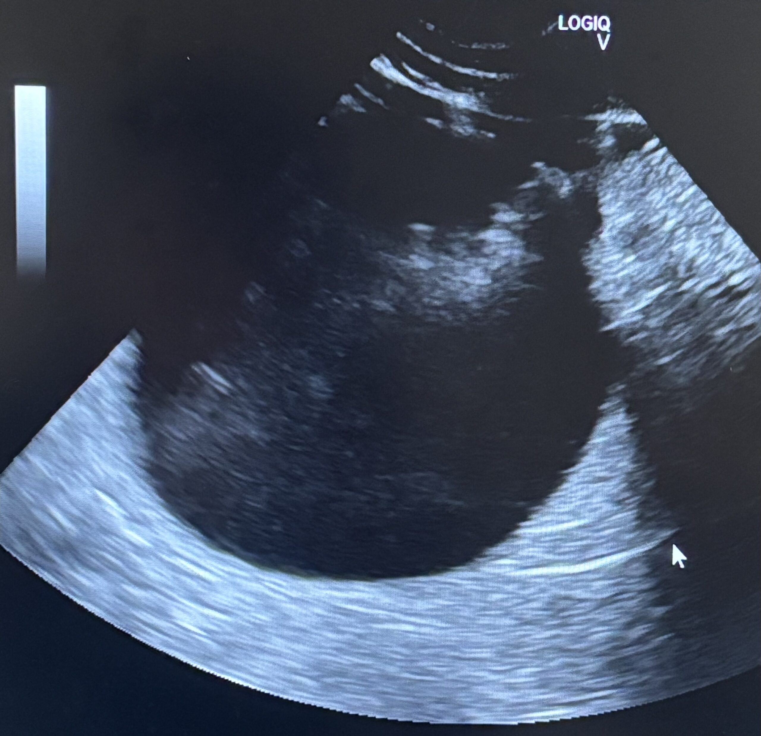
術前の超音波検査において、膀胱は極限まで拡張し、膀胱壁は今にも破裂しそうなほど薄くなっている危険な状態でした。直ちに緊急処置として膀胱穿刺を行い、ほぼ血液成分のみの尿を80ml抜去しました。この穿刺自体、膀胱破裂を招きかねない極めて緊迫した局面でしたが、これにより一時的な減圧に成功しました。しかし、尿道先端部での物理的な閉塞によりカテーテルの通過は不可能であり、内科的解除が困難であることから、直ちに外科的介入によって尿路を確保する適応と判断しました。
尿道閉塞は「様子を見る」ことが絶対に許されない疾患です。放置した場合、数日以内に確実に死に至ります。排尿できないことで体内に尿毒症の毒素が充満し、激しい吐き気と全身の苦痛が持続します。最終的には膀胱が破裂するか、不可逆的な腎不全を引き起こし、極めて残酷な最期を迎えることになります。
本症例は、重度の尿毒症と水腎症(尿管拡張)を併発しており、麻酔リスクは極めて高い状態でした。術中の致命的な血圧低下を防ぐため、静脈点滴に加えて術中ドパミンを使用し、循環動態を厳密に維持しました。
さらに、当院では局所浸潤麻酔を徹底して併用しています。全身の機能が低下している患者さんに対し、痛みの伝達経路を局所で物理的に遮断することで、全身麻酔薬の必要量を下げ、安全域を論理的に広げています。
















第2病日の血液検査では、BUN 28.9 mg/dl、クレアチニン 1.16 mg/dlと劇的な数値の改善を認め、カテーテルからの排尿も良好でした。
早期退院後は、ご家族自身の手による以下の管理が命綱となります。
スクロールすると画像が見れます
本症例のような軟部外科は広く対応可能ですが、尿管結石摘出や輸血が必要な重度貧血症例などは、命を最優先とし二次施設(高度医療機関)へご紹介します。
今回の症例は、術前の膀胱穿刺から術後の疼痛管理、そして将来を見据えた皮膚の造形まで、一分一秒を争う判断と緻密な技術の連続でした。当院では感情論ではなく、事実と論理に基づき、最大限の治療を提供いたします。退院後のケアはご家族の協力が不可欠ですが、共にこの子の命を守り抜きましょう。
This case report details the emergency surgical intervention for a 10 to 11-month-old male cat suffering from a severe, life-threatening urethral obstruction and secondary acute kidney injury (uremia). Due to the inability to resolve the obstruction medically and the presence of severe calcification in the bladder wall, a perineal urethrostomy was urgently performed. To minimize anesthetic risks in this highly compromised patient, local infiltration anesthesia was strictly utilized alongside rigorous intraoperative blood pressure management. A specialized surgical technique, utilizing surrounding preputial skin as a protective “umbrella,” was employed to prevent postoperative stricture caused by self-trauma. Following intense postoperative pain management with intravesical bupivacaine and stabilization of renal values, the patient was discharged early to reduce stress. Long-term management relies on strict at-home subcutaneous fluid therapy, a dedicated prescription diet, and rigorous local wound care by the family.
本病例报告详细记录了一只10至11个月大的雄性猫的急诊外科手术。该患犬因严重的尿道阻塞导致危及生命的急性肾损伤(尿毒症)。由于无法通过内科导尿解除阻塞,且超声检查显示膀胱壁出现严重钙化,我们紧急施行了会阴尿道造口术。为降低该高危病例的麻醉风险,手术中严格结合了局部浸润麻醉,并进行了严密的术中血压管理。为了防止术后因舔舐造成的医源性尿道狭窄,手术采用了利用阴茎周围皮肤作为“伞”状保护层的特殊皮瓣技术。在术后通过膀胱内注入布比卡因进行严格的疼痛管理,并确认肾脏指标显著改善后,安排患者尽早出院以减少精神压力。长期的预后高度依赖于家庭内的严格护理,包括居家皮下输液、严格的处方饮食控制以及细致的局部伤口消毒和药膏涂抹。